Acceso Venoso No Convencional: Acceso Venoso Percutáneo Translumbar y Transhepático para Hemodiálisis
La enfermedad renal crónica (ERC) afecta a más de 50 millones de personas a nivel mundial, con más de 1 millón de pacientes recibiendo hemodiálisis. El mantenimiento de un acceso venoso funcional determina frecuentemente la supervivencia de pacientes con enfermedad renal terminal. Cuando las opciones convencionales de acceso vascular se agotan debido a trombosis, estenosis u oclusión de las venas centrales principales, se requieren enfoques alternativos no convencionales. Este documento revisa las técnicas de acceso venoso percutáneo translumbar y transhepático a la vena cava inferior como alternativas viables en pacientes con opciones de acceso vascular exhaustas.
Introducción
Epidemiología y Contexto Clínico
La Fundación Nacional del Riñón mediante las Guías de Práctica Clínica de la Iniciativa de Resultados de Calidad en Enfermedad Renal (NKF-KDOQI) estima que en Estados Unidos existen 726,331 casos prevalentes de enfermedad renal terminal hasta 2016, con 63.1% de pacientes recibiendo terapia de hemodiálisis. A pesar de las iniciativas para reducir el uso de catéteres venosos centrales, aproximadamente 80% de los pacientes prevalentes utilizaban catéteres al inicio de la hemodiálisis al final de 2016.
Acceso Vascular Convencional
Las guías KDOQI recomiendan el uso de las venas yugulares internas como sitio inicial para la colocación de catéteres venosos centrales para hemodiálisis. La cateterización venosa central prolongada resulta comúnmente en trombosis endoluminal, estenosis u oclusión, llevando eventualmente al agotamiento de las opciones de acceso venoso antes de la disponibilidad de un acceso vascular quirúrgico adecuado o un donante renal compatible.
Fundamentos de la Hemodiálisis con Catéter
Criterios de Acceso Ideal
Según las recomendaciones KDOQI, el acceso ideal para hemodiálisis debe:
Permitir una tasa de flujo al dializador adecuada para la prescripción de diálisis
Tener una vida útil prolongada
Presentar baja tasa de complicaciones (infección, trombosis, estenosis, aneurisma, isquemia distal)
Tipos de Catéteres
Catéteres Agudos o de Corto Plazo (3-5 sesiones de diálisis en 1 semana):
Típicamente no tunelizados
Puntas ubicadas en vena cava superior
Catéteres de Largo Plazo (semanas a meses):
Catéteres tunelizados con manguito
Puntas ubicadas en aurícula derecha para flujo óptimo
Diseño de doble lumen con configuración escalonada o dividida
Diseños Contemporáneos
Los catéteres de hemodiálisis contemporáneos incluyen diseños innovadores como el catéter Tal Palindrome (Covidien, Mansfield, Massachusetts) con diseño simétrico de punta que incorpora un separador espiral, permitiendo la reversión de las líneas arterial y venosa durante la hemodiálisis con riesgo reducido de recirculación.
Selección de Pacientes
Indicaciones
Los enfoques translumbar y transhepático están indicados cuando:
Se han agotado la mayoría de opciones de acceso vascular quirúrgico
Existe trombosis u oclusión total crónica de venas centrales convencionales
Se requiere hemodiálisis a largo plazo con alternativas limitadas
Contraindicaciones
Contraindicaciones Relativas:
Coagulopatía no corregible (INR >1.5, plaquetas <50,000/mm³)
Infección activa o bacteremia probada
Obesidad mórbida (especialmente obesidad troncal para acceso translumbar)
Ascitis (para acceso transhepático)
Oclusión de vena cava infrarenal (para acceso translumbar)
Consideraciones Especiales:
En pacientes pediátricos, el crecimiento intervalar puede llevar al desplazamiento del catéter
Se requieren cultivos sanguíneos negativos por al menos 24 horas antes de la colocación
Técnicas de Colocación
Acceso Translumbar de Vena Cava Inferior
Preparación del Procedimiento:
Evaluación previa de la permeabilidad de venas iliofemorales mediante ultrasonografía
Colocación opcional de catéter pigtail transfemoral como marcador fluoroscópico
Posicionamiento en decúbito prono
Técnica Quirúrgica:
Acceso Percutáneo: Abordaje paramediano derecho, 8-10 cm lateral a línea media, superior a cresta ilíaca
Punción: Aguja de 21G, 15 cm dirigida craneomediamente hacia margen anterolateral de cuerpos vertebrales L2-L3
Confirmación: Aspiración libre de sangre, administración opcional de medio de contraste
Acceso Vascular: Alambre guía de 0.018" platino avanzado hasta unión cavotrial o aurícula derecha
Tunelización: Creación de túnel subcutáneo con ángulo suave, sitio de salida lateral para comodidad del paciente
Colocación Final: Intercambio por vaina despegable, inserción de catéter de doble lumen tunelizado
Acceso Transhepático
Preparación:
Ultrasonografía del cuadrante superior derecho para identificar vena hepática media o derecha permeable
Anestesia local incluyendo cápsula hepática
Técnica Quirúrgica:
Punción: Aguja de 21G, 15 cm bajo guía ultrasónica, abordaje subcostal anterior o intercostal medioaxilar
Preferencia de Acceso: Canulación de vena hepática sobre punción directa de vena cava para mayor longitud intravascular
Colocación: Similar a técnica translumbar con alambre guía avanzado hasta aurícula derecha
Consideraciones Especiales: Alambre guía rígido puede ser necesario en pacientes obesos o con cirrosis
Complicaciones
Complicaciones Tempranas (Periprocedimentales)
Falla en obtener acceso vascular
Arritmias auriculares o ventriculares inducidas por alambre guía o catéter
Sangrado (raro con parámetros de coagulación aceptables)
Embolia aérea (reducida dramáticamente con vainas introductoras valvuladas)
Malposición o acodamiento del catéter
Complicaciones Tardías
Específicas del Acceso Translumbar:
Migración Espontánea: Más común en pacientes obesos, especialmente con adiposidad troncal excesiva
Hemorragia Retroperitoneal: Resultado de migración o desalojamiento del catéter
Comunes a Ambos Enfoques:
Trombosis del Catéter: Tratamiento con trombolisis ambulatoria (30 minutos a 1 hora)
Formación de Vaina de Fibrina: Manifestación como disfunción del catéter con capacidad alterada para aspirar sangre
Infección:
Sitio de salida y túnel subcutáneo (Staphylococcus epidermidis más común)
Torrente sanguíneo
Tasa reportada: 0.22-0.24 por 100 días-catéter en estudios transhepáticos
Manejo de Complicaciones:
Trombosis: Fibrinolisis farmacológica, intercambio de catéter sobre alambre guía
Migración: Intercambio inmediato sobre alambre guía para reposicionamiento adecuado
Infección: Remoción del catéter en la mayoría de casos
Consideraciones Post-Remoción
La embolización del tracto hepático después de la remoción electiva de catéteres transhepáticos permanece controversial. Algunos autores realizan rutinariamente embolización del tracto con pledgets de Gelfoam, mientras otros no reportan complicaciones hemorrágicas sin embolización.
Resultados Clínicos
Datos de Supervivencia del Acceso
Estudios retrospectivos han demostrado:
Acceso Translumbar: Permeabilidad acumulativa de 52% a 6 meses y 17% a 12 meses
Acceso Transhepático: Tasa de trombosis de 0.18-0.24 por 100 días-catéter, tasa de migración de 14-37.4%
Eficacia a Largo Plazo
A pesar de las tasas de complicaciones, tanto los accesos translumbar como transhepático han demostrado funcionalidad a largo plazo y proporcionan acceso notablemente duradero en pacientes que han agotado todas las demás opciones de acceso.
Conclusiones
Los enfoques translumbar y transhepático para acceso venoso central en hemodiálisis representan alternativas valiosas cuando se han agotado los métodos convencionales de acceso vascular. Aunque requieren experiencia técnica experta y vigilancia estrecha para mantener la permeabilidad, estas técnicas permanecen como herramientas invaluables en el armamentario para intervencionistas que tratan pacientes que requieren acceso venoso central crónico para hemodiálisis.
Recomendaciones Clínicas
Selección Rigurosa de Pacientes: Reservar para casos donde se han agotado opciones convencionales
Evaluación Preoperatoria Completa: Incluyendo estudios de coagulación, cultivos sanguíneos y imagenología vascular
Técnica Meticulosa: Con guía por imágenes apropiada para minimizar complicaciones
Vigilancia Post-Procedimiento: Monitoreo regular para detección temprana de complicaciones
Manejo Multidisciplinario: Coordinación entre nefrólogos, intervencionistas y personal de hemodiálisis
Perspectivas Futuras
Con el envejecimiento de la población y el incremento en la incidencia de enfermedad renal crónica, la demanda por opciones de acceso vascular alternativas continuará creciendo. El desarrollo de nuevas tecnologías de catéteres y técnicas de colocación puede mejorar aún más los resultados de estos enfoques no convencionales, ofreciendo esperanza a pacientes con opciones de acceso limitadas.


Ecografía de la vena hepática media


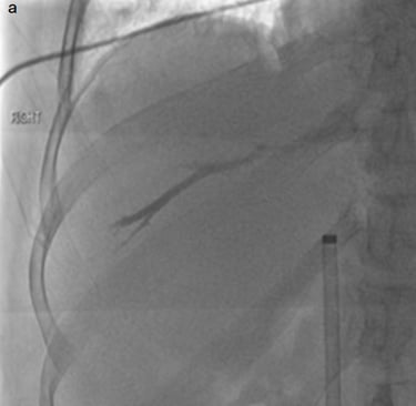
Venografía por punción transhepática eco-guiada


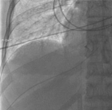
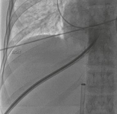
Punción y colocación de guía transhepática hacia la unión cavoatrial inferior


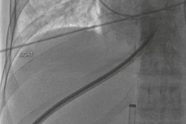
Implante de cateter transhepático


