Abordaje del Catéter Disfuncional de Hemodiálisis
La disfunción del catéter tunelizado de diálisis (CTD) representa una complicación frecuente en pacientes con enfermedad renal terminal que reciben hemodiálisis. Este documento presenta un abordaje sistemático para la evaluación diagnóstica y manejo terapéutico de catéteres disfuncionales, desde la evaluación inicial en la unidad de diálisis hasta intervenciones especializadas en sala de procedimientos.
Introducción y Epidemiología
A pesar de los esfuerzos sustanciales de la comunidad nefrológica para reducir la utilización de catéteres de diálisis, la mayoría de pacientes con enfermedad renal terminal en Estados Unidos inician hemodiálisis con un catéter tunelizado de diálisis, con aproximadamente una cuarta parte permaneciendo dependientes del catéter posteriormente. Los CTD se asocian con disminución de la supervivencia del paciente, así como múltiples complicaciones incluyendo estenosis venosa central, infección y trombosis.
Definición de Disfunción del Catéter
Las guías KDOQI 2019 redefinen la disfunción del catéter como "la falla para mantener el flujo extracorpóreo prescrito requerido para hemodiálisis adecuada", eliminando las tasas específicas de flujo sanguíneo y presiones del circuito como objetivos. La disfunción puede aumentar las presiones arteriales y/o venosas en el circuito del dializador, necesitando reducción del flujo sanguíneo y resultando en recirculación significativa que lleva a menor eficacia dialítica.
Clasificación Temporal de la Disfunción
Disfunción Temprana
La disfunción detectada inmediatamente después de la colocación del catéter generalmente se debe a:
Posicionamiento inadecuado del catéter
Anormalidades vasculares preexistentes (estenosis venosa central)
Daño mecánico al catéter (sutura apretada o perforación)
Disfunción Tardía
La disfunción que se desarrolla después del uso inicial exitoso usualmente se debe a:
Trombosis intraluminal
Formación de vaina de fibrina alrededor del catéter
Trombo mural adherido a la punta del catéter
Estenosis venosa central de nueva aparición
Evaluación y Tratamiento Inicial en Unidad de Diálisis
Medidas Inmediatas
Reposicionamiento del Paciente: La mejoría del flujo sanguíneo después del reposicionamiento (posición Trendelenburg) sugiere malposición de la punta del catéter
Reversión de Lúmenes: Intercambio de lúmenes de entrada y salida puede superar el efecto de válvula de bola de la vaina de fibrina
Evaluación del Equipo: Verificar mal funcionamiento del equipo de diálisis incluyendo acodamiento de líneas, falla de bomba, coagulación del dializador
Instilación de Trombolítico: Alteplasa en lúmenes del CTD por 1 hora hasta 24 horas cuando se sospecha estenosis intraluminal
Sistema de Análisis de Fibrina Endoluminal (FAS)
El cepillo FAS ha sido empleado para mantener la permeabilidad de varios tipos de catéteres, aunque solo un estudio pequeño ha evaluado su efectividad en CTD con resultados positivos.
Evaluación Diagnóstica en Suite Intervencionista
Examen Físico
Cuando no se pueden reestablecer flujos sanguíneos adecuados en la unidad de diálisis, se indica referencia a suite intervencionista. El examen debe incluir:
Aspiración del contenido luminal
Evaluación de acodamientos e integridad del catéter
Inspección para infección del túnel
Evaluación Radiográfica
Radiografía Simple:
Evaluación del posicionamiento del catéter
Detección de acodamientos
Identificación de migración de punta hacia vena cava superior o venas braquiocefálicas
Apariencia curva caudal o "dona" sugiere canulación de vena ácigos
Localización en región paraesternal sugiere colocación intraaórtica
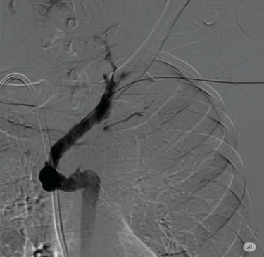
Angiografía:
Inyección lenta de 10-15 ml de contraste por cada puerto del catéter
En presencia de vaina de fibrina, el contraste delineará la vaina con flujo retrógrado desde la punta del catéter
El flujo anterógrado puede demostrar defecto de llenado pericatéter consistente con trombo mural
Intervenciones Dirigidas por Causa Específica
Daño del Catéter
Diagnóstico: Cateterograma mediante inyección manual de 10 cc de contraste en cada lumen Tratamiento: Intercambio del catéter disfuncional por uno nuevo cuando se confirma extravasación de contraste
Acodamiento del Catéter
Causas:
"Punción alta" en vena yugular interna por encima de clavícula
Atrapamiento en tejido subcutáneo insuficientemente diseccionado
Manejo:
Punción alta: Remoción del CTD existente y colocación de nuevo más bajo en yugular interna
Atrapamiento: Incisión sobre el acodamiento con disección roma usando hemostato
Malposición de la Punta
Fisiopatología: Contacto directo de la punta del catéter o agujeros laterales con la pared del vaso causando obstrucción del flujo sanguíneo
Manejo:
CTD < 1 semana: Intentos de avance hacia porción inferior de vena cava superior sobre alambre Amplatz
CTD > 1 semana: Necesidad de disección subcutánea e intercambio por nuevo CTD debido a formación de tejido fibroso alrededor del manguito
Trombosis del Catéter
Epidemiología: Causa más común de disfunción del CTD a pesar del uso rutinario de soluciones anticoagulantes de bloqueo
Tratamiento Farmacológico:
Agentes: Alteplasa (t-PA) más común que reteplasa
Dosis: 2 mg por lumen instilado por aproximadamente 1 hora
Protocolo Extendido: Si no se restaura flujo, aspirar alteplasa e instalar nueva dosis por 10-24 horas
Eficacia: 70-88% de tasa de éxito inmediato; solo 50% permanecen permeables a 2 semanas
Tratamiento Mecánico:
Cepillo FAS: Tasa de éxito inmediato de 73% y permeabilidad a 6 semanas de 50%
Datos limitados: Resultados comparables a trombolíticos pero evidencia insuficiente
Vaina de Fibrina
Prevalencia: Afecta 40-100% de catéteres venosos centrales Sospecha Clínica: Uso recurrente de trombolíticos
Opciones Terapéuticas:
Intercambio de CTD
Colocación de uno o dos alambres Amplatz en VCI bajo guía fluoroscópica
Disección de tejido subcutáneo alrededor del manguito
Retracción del CTD existente sobre alambres esterilizados
Inserción de nuevo CTD a través del túnel existente
Desprendimiento Percutáneo de Vaina de Fibrina (PFSS)
Colocación de vaina 6-French en vena femoral
Avance de catéter angiográfico diagnóstico hacia VCS
Intercambio por lazo nitinol de 25-35 mm para rodear el catéter
Retracción del dispositivo para limpiar manualmente la fibrina
Disrupción por Angioplastia
Retracción del CTD sobre dos alambres Amplatz
Avance de vaina 7-French de 20 cm hacia VCS
Inflado de balón de 12 mm múltiples veces a lo largo del tracto de la vaina
Lazo Interno
Alambre nitinol Terumo de 0.089 mm doblado en forma de U
Avance a través de cada lumen del CTD hasta emerger de la punta
Movimiento del lazo alrededor de la punta para disrumpir la vaina de fibrina
Evidencia Comparativa:
Tasas de permeabilidad superiores con intercambio de catéter vs PFSS a 4 meses en un estudio
Sin diferencias en resultados inmediatos o a largo plazo (6 meses) entre intercambio, PFSS y disrupción por angioplastia en otro estudio
Guías KDOQI 2019 dejan la decisión de disrumpir la vaina de fibrina a discreción del operador
Estenosis de Vena Central
Impacto Funcional: La estenosis de vena braquiocefálica o VCS no afecta la función del CTD mientras la punta permanezca fuera del segmento estenótico
Indicaciones para Reubicación:
Desarrollo de síndrome de VCS
Contacto directo con pared del vaso
Opciones de Acceso Alternativo:
Primera línea: Vena femoral
Accesos no convencionales: Abordaje translumbar o transhepático cuando venas yugular interna y femoral son inaccesibles
Manejo de la Estenosis:
Angioplastia con o sin colocación de stent debe diferirse hasta después de remoción del catéter
Intervención solo si persisten signos y síntomas clínicos
Tasas de permeabilidad a 12 meses de 20-30% con intervención percutánea
Algoritmo Diagnóstico y Terapéutico
Las guías proporcionan un algoritmo estructurado para nefrólogos generales y personal de unidades de diálisis:
Evaluación inicial en unidad de diálisis
Medidas correctivas inmediatas
Instilación de trombolítico si está indicado
Referencia a suite intervencionista si falla tratamiento inicial
Evaluación diagnóstica completa con imagenología
Intervención específica basada en etiología identificada
Conclusiones y Recomendaciones
La disfunción del catéter tunelizado de diálisis requiere un abordaje sistemático y escalonado. El reconocimiento temprano de la causa subyacente es crucial para seleccionar la intervención más apropiada. Mientras que medidas simples como reposicionamiento del paciente o instilación de trombolíticos pueden resolver algunos casos, situaciones más complejas requieren intervenciones especializadas en suite de procedimientos.
Puntos Clave para la Práctica Clínica:
Evaluación Temprana: La clasificación temporal de la disfunción guía el abordaje diagnóstico
Abordaje Escalonado: Desde medidas simples en unidad de diálisis hasta intervenciones complejas
Selección de Intervención: Basada en causa específica identificada mediante evaluación diagnóstica apropiada
Consideración de Alternativas: Accesos no convencionales para pacientes con opciones limitadas
Seguimiento: Monitoreo de permeabilidad a largo plazo independientemente de la intervención seleccionada
La comprensión de estos principios permite optimizar el manejo del catéter disfuncional y mantener acceso vascular adecuado para pacientes dependientes de hemodiálisis.


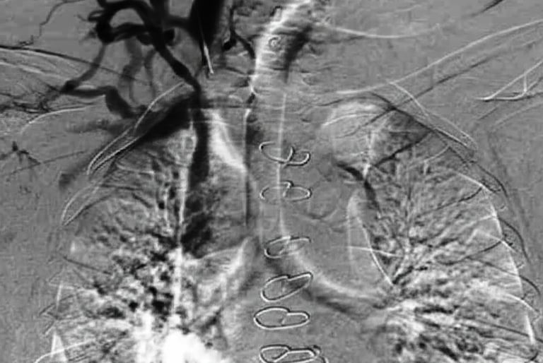
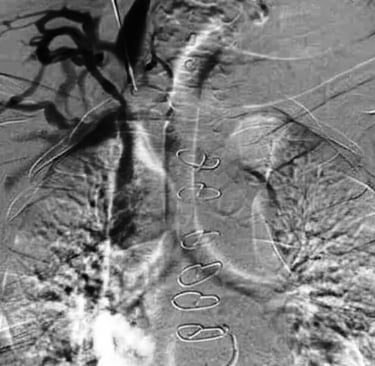
Flebografía de vena cava superior estenótica


Paso de guía Amplatz Super Stiff por zona de estenosis dentro de la vaina de fibrina


Flebografía de la vena ácigos en presencia de estenosis cavoatrial


Estenosis de la vena yugular con dilatación de sus efluentes


