
Soluciones integrales en nefrología intervencionista
Atención especializada en accesos vasculares complejos y procedimientos mínimamente invasivos.


Seguridad en escenarios difíciles
En nephro-cath-lab-mx ofrecemos soluciones integrales en nefrología intervencionista, enfocándonos en accesos vasculares complejos para mejorar la calidad de vida de los pacientes renales.
“Llegó un momento en que ya no sabía qué hacer. Veía a mis pacientes llegar con infecciones, trombosis, catéteres mal manejados… y poco a poco se iban quedando sin accesos. Es desesperante estar frente a alguien que necesita diálisis urgente y no tener dónde colocar un catéter."
— Dra. Mariana León., Nefróloga tratante



Servicios Nefrología Intervencionista
Ofrecemos soluciones integrales en nefrología intervencionista para mejorar la calidad de vida.
Colocación de Angioaccesos
Realizamos colocación y rescate de angioaccesos difíciles con enfoque mínimamente invasivo.
Nefrostomías Seguras
Procedimientos de nefrostomía realizados por un equipo especializado y con gran precisión.
Diálisis Peritoneal
Colocación de catéteres para diálisis peritoneal, garantizando seguridad y efectividad en el tratamiento.
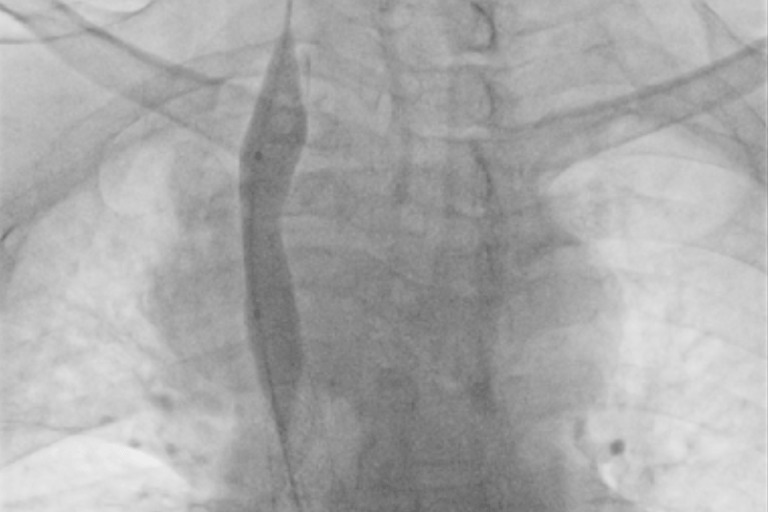
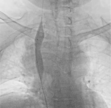
Terapia endovascular de zonas de estenosis
Procedimientos mediante intervencionismo percutaneo para tratar zonas de obstrucción y estenosis responsables de la disfunción del catéter de hemodialisis.
Fistulas arterio-venosas
Creación de fistulas arteriovenosas para hemodialisis, así como el tratamiento percutaneo de su complicaciones.




Especializados en el Síndrome de agotamiento de angioaccesos
Certificados en el implante del sistema HeRO.
Terapia Híbrida percutanea, endovascular y quirúrgica
Terapia multidisciplinaria, individualizamos al paciente, para otorgar el angioacceso que mejor se ajuste a sus características.




Manejo quirúrgico para angioaccesos definitivos
Nos especializamos en la colocación de accesos vasculares intra auriculares por cirugía de mínima invasión videasistida y creación de neo conductos con injertos sintéticos








“Pensé que había perdido mi fístula para siempre. Me dijeron que ya no servía y que tendría que usar un catéter. Pero gracias a Nephro Cath Lab, la recuperaron. Con su intervención pude seguir dializándome de forma segura. Me devolvieron algo más que un acceso: me devolvieron tranquilidad.”
- Rafael G.






“Después de 11 años en diálisis y más de 9 catéteres —incluyendo uno peritoneal— me dijeron que ya no había más opciones. Mis venas estaban agotadas y nadie quería intentar un nuevo acceso. Me sentí al borde del colapso. En Nephro Cath Lab evaluaron mi caso y colocaron un conducto intraauricular con injerto sintético. Ahora cada que lo necesito me cambian el cateter sobre el injerto, sin complicaciones. Gracias a ellos, sigo viva y dializándome con seguridad.”
-Laura R.
“Pasé por años de complicaciones: catéter tras catéter, infecciones, hospitalizaciones, y una fístula que nunca funcionó. Ya no había venas disponibles y sentía que se me acababan las opciones. Fue entonces cuando me hablaron del sistema HeRO. En Nephro Cath Lab lo colocaron con precisión y cuidado. Desde entonces, volví a dializarme sin miedo. Es la primera vez en mucho tiempo que siento estabilidad en mi tratamiento.”
- Gerardo O.
“Nací con hipoplasia renal y, tras un trasplante que falló, tuve que volver a la hemodiálisis. Con los años, mis venas se fueron cerrando y ya no había por dónde dializarme. El doctor me explicó que necesitaban abrir las venas que llegan a mi corazón con una angioplastia de la vena cava. Sonaba complejo, pero confié. Gracias a ese procedimiento y al equipo que lo realizó, hoy sigo en tratamiento y con una nueva oportunidad de vida.”
-Andrea T.


